Damit sich OP-Teams voll und ganz auf die Behandlung der Patienten konzentrieren können, halten wir unsere erweiterte Bildführung so einfach und effizient wie möglich. Die besonders große Flexibilität des Systems unterstützt Ihre bevorzugte Arbeitsweise durch die freie Positionierung am Kopfende. Unsere dedizierten Neuro-Tools unterstützen jeden Schritt des Verfahrens – von der Entscheidungsfindung, Führung und Behandlung bis hin zur Verifizierung der Behandlungsergebnisse.
Die Neurovascular Suite von Philips Image Guided Therapy bietet ein flexibles, auf die neurovaskuläre Medizin zugeschnittenes Produktportfolio integrierter Technologien, Dienstleistungen und Zubehör. Mit der Neurovascular Suite haben Sie stets die volle Kontrolle.
Mehr erfahrenLösungen für Wirbelsäuleneingriffe mit erweiterter Echtzeit-Bildführung und besonders flexiblen Arbeitsabläufen für den Hybrid-OP – für schnelle, präzise und vereinfachte Eingriffe. Von Philips Image Guided Therapy.
Mehr erfahren
Dieses deckenmontierte System besticht durch seine hervorragende Freiheit bei der Positionierung. Eine enorme Flexibilität in der Bildgebung ermöglicht die Durchführung von Verfahren an so gut wie jeder Position um den Tisch herum, auch am Kopfende. Alle relevanten Anwendungen können direkt am Untersuchungstisch über einen einzigen Touchscreen bedient werden, ohne dass Sie das sterile Umfeld verlassen müssen – ein entscheidender Vorteil, wenn Sie schnell informierte Entscheidungen treffen müssen. Philips Azurion mit FlexArm passt sich an Sie an, damit Sie effizienter arbeiten und Ihren Patienten eine hervorragende Versorgung bieten können.

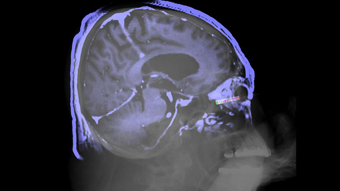
Bei neurochirurgischen Eingriffen ist eine hervorragende Bildqualität besonders wichtig. Gleichzeitig muss die Sicherheit aller Beteiligten zu jeder Zeit gewährleistet sein. Das Azurion 7 biplanare Röntgensystem ist besonders dazu geeignet, Sie bei Eingriffen zu unterstützen. Dank des Designs des FD20/15 Detektors kann der 15"-Detektor (Diagonale: 38,1 cm) nahe am Kopf des Patienten positioniert werden und erfasst trotzdem die komplette Kopfregion. Alle relevanten Anwendungen können direkt am Untersuchungstisch über einen einzigen Touchscreen bedient werden, ohne dass Sie das sterile Umfeld verlassen müssen – ein entscheidender Vorteil, wenn Sie schnell informierte Entscheidungen treffen müssen.

Die SmartCT Lösung ergänzt unsere umfassenden interventionellen 3D-Tools um aktive Benutzerunterstützung, welche der unkomplizierten Erfassung von 3D-Bildern im interventionellen Labor dient, sodass diese allen klinischen Anwendern ganz unabhängig von ihrem Erfahrungsniveau zugänglich sind.1. Nach der Erfassung werden die 3D-Bilder in Sekundenschnelle automatisch auf dem Touchscreen-Modul in der entsprechenden Rendering-Betriebsart angezeigt. Hier haben Anwender dann auch Zugang zu Tools für erweiterte 3D-Darstellungen und -Messungen.

Diese Röntgen-Erfassungstechnik erzeugt eine vollständige, hochauflösende 3D-Darstellung der zerebralen, kardialen, abdominalen und peripheren Gefäße eines einzigen Rotationsangiographielaufs. Sämtliche Funktionen werden dabei über den Touchscreen am Tisch gesteuert. Dies kann die Sichtbarkeit stark gewundener oder komplexer Anatomien verbessern, die auf einem 2D- oder DSA-Bild möglicherweise nicht zu sehen sind.

SmartCT Soft Tissue bietet eine Cone-Beam-CT-Erfassungstechnik (CBCT), die durch Schritt-für-Schritt-Anleitungen, erweiterte 3D-Darstellungs- und Messwerkzeuge, die alle auf dem Touchscreen-Modul am Tisch zugänglich sind, ergänzt wird. Damit Ihre CBCT-Bilder auf Anhieb gelingen und Ihr Arbeitsablauf effizient gelingt, werden Sie durch die wichtigsten Schritte geführt.

SmartCT Vaso bietet 3D-Bildgebung mit hoher Auflösung, die wichtige zerebrovaskuläre Strukturen darstellt und so die räumliche Beurteilung von Gefäßen auf hohem Niveau unterstützt.

XperGuide bietet eine Live-3D-Bildführung der Nadel, die Ihnen die Durchführung von perkutanen Nadeleingriffen im Hybrid-OP ermöglicht. Dabei werden Daten von Live-Durchleuchtung und 3D-Weichgewebe-Bildgebung aus zuvor durchgeführten CT- oder MR-Scans oder Philips XperCT Bildern überlagert, wodurch Sie Informationen über Pfad und Ziel der Nadel erhalten.

Die SmartCT Roadmap erleichtert komplexe Verfahren durch segmentierbare Live-3D-Bildführung, um das Zielgefäß sowie die Läsionen hervorzuheben und so die Navigation durch komplexe Gefäßstrukturen zu unterstützen. Sämtliche Funktionen werden über den Touchscreen am Tisch gesteuert.
Sie benötigen Bildgebung in einem klassischen OP? Mit den mobilen C-Bogen-Lösungen von Philips lassen sich klare, detaillierte Bilder schneller und einfacher aufnehmen. Sie unterstützen Sie dabei, während orthopädischen und schmerztherapeutischen Verfahren, bei Gefäßeingriffen und anderen chirurgischen Verfahren im OP informierte Entscheidungen zu treffen.
September 21, 2023
Literatur
You are about to visit a Philips global content page
Continue