
Dieses deckenmontierte System bietet enorme Flexibilität in der Bildgebung und bei der Positionierung. Alle relevanten Anwendungen können direkt am Untersuchungstisch über einen einzigen Touchscreen bedient werden, ohne dass Sie das sterile Umfeld verlassen müssen – ein entscheidender Vorteil, wenn Sie schnell informierte Entscheidungen treffen müssen. Philips Azurion mit FlexArm passt sich an Ihre Bedürfnisse an, damit Sie effizienter arbeiten und Ihren Patienten eine hervorragende Versorgung bieten können.

SmartCT bietet Ihrem Labor dank der einfachen Steuerung von erweiterten Funktionen für 3D-Erfassung, Darstellung und Messung am Tisch zusätzliche Flexibilität und Effizienz. Die halbautomatischen und über den Touchscreen steuerbaren Segmentierungsaufgaben beschleunigen die 3D-Bildanalyse. Um klinische Anwender bei der 3D-Bildgebung zu unterstützen, bietet SmartCT schrittweise Anleitungen für die gesamte 3D-Bildgebung. So können Sie das System problemlos bedienen und Ihren Patienten eine hervorragende Versorgung bieten.

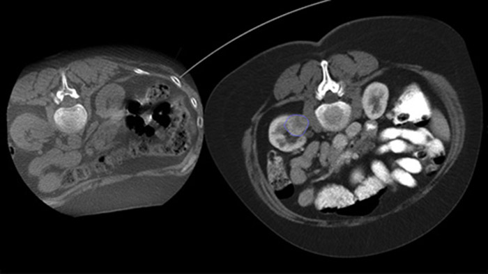
XperGuide Ablation* bietet umfassende Unterstützung bei der Behandlungsplanung und Echtzeit-Nadelnavigation. Die spezielle Parallaxenkorrektur ermöglicht die Planung von Nadelverläufen bei außermittigen Läsionen.1 Um eine möglichst gute Nadelposition für eine wirksame Ablation zu erreichen, zeigt dieses Tool den virtuellen Nadelverlauf an. Auch die Planung mehrerer Ablationsnadeln wird dadurch unterstützt. Außerdem werden Nadeleigenschaften wie Ablationszone/Isotherm angezeigt, damit die vollständige Tumorabdeckung vor der Ablation verifiziert werden kann.

Heterogene Läsionen und fehlende Erkennbarkeit beeinträchtigen die Qualität von Proben sowie die Durchführbarkeit von Biopsien mithilfe von Ultraschall oder der klassischen CT. Da Lungenscreening-Programme immer gängiger werden, werden frühe Lungenkarzinome in Form von kleinen Rundherden inzwischen öfter entdeckt als je zuvor. Bei 14,5 % einer gescreenten Population wurden Rundherde ≤ 10 mm beobachtet.1-2 Unsere Nadelnavigationstechnologie mit CBCT erhöht die Präzision und ermöglicht das Targeting kleinerer (<= 1 cm) oder heterogener Läsionen mit größerer Genauigkeit und weniger Neupositionierungen der Nadel. Gleichzeitig kann die Strahlungsbelastung im Vergleich zur klassischen CT reduziert werden.1-2
im Vergleich zur klassischen CT1
weniger Neupositionierungen im Vergleich zur klassischen CT1
geringere Hautdosis im Vergleich zur klassischen CT1

Die perkutane Ablation (Hochfrequenz-, Mikrowellen- und Kryoablation) ist eine etablierte, minimal-invasive Behandlungsmethode für Nieren-, Leber-, Lungen- und Knochentumore. Dabei ist es besonders wichtig, den Tumor abzugrenzen und eine geeignete Anzahl an Nadeln und notwendigen Nadelverläufen festzulegen, damit der gesamte Tumor behandelt werden kann, ohne das umliegende Gewebe zu schädigen. Durch die präzise Navigation zur relevanten Läsion bei niedriger Strahlendosis und ohne Neupositionierung der Nadel werden die Erfolgschancen erhöht und das Komplikationsrisiko bei Biopsien und Ablationen reduziert. Der Endpunkt der Ablationsbehandlung kann mittels 3D-Bildgebung verifiziert werden, während sich der Patient noch auf dem Tisch befindet.

SmartCT Soft Tissue trägt durch schrittweise Anleitungen, erweiterte 3D-Darstellung und Messwerkzeuge zur Verbesserung der Cone-Beam-CT-Aufnahmen (CBCT) bei. All diese Funktionen lassen sich direkt am Tisch über das Touchscreen-Modul bedienen.

Mit Dual View kann ein 3D-Vorabbild (CT/MR/PET-CT) über ein intraprozedurales 3D-CBCT-Dual-Bild gelegt werden, um die Läsionen besser sichtbar zu machen und entscheidende Informationen für die Nadelplanung zu erhalten.

XperGuide bietet eine besonders präzise Live-Bildführung für jede Nadel zur Zielposition. Hierfür wird das Durchleuchtungsbild mit den vorab geplanten Bewegungsverläufen überlagert.3

Mithilfe eines nach der Ablation erfassten CBCT-Bilds können Sie die Tumorabdeckung und damit die Vollständigkeit der Behandlung verifizieren.
September 21, 2023
Lösungen zur effektiven Unterstützung bei Behandlung und Entscheidungsfindung bei der Tumorembolisation von Philips Image Guided Therapy.
Mehr erfahren Literatur * XperGuide Ablation ist ein optionales Leistungsmerkmal von XperGuide.
You are about to visit a Philips global content page
Continue