Ischämischer Schlaganfall

Behandlung von ischämischen Schlaganfällen

Symbol neurovaskuläre Medizin

Teil des Bereichs Neurovascular

Stellen Sie sich den Herausforderungen bei der Behandlung von ischämischen Schlaganfällen

 

Wir beobachten einen starken Anstieg von Thrombektomien als Behandlung der ersten Wahl für Patienten mit ischämischem Schlaganfall. Außerdem gibt es in diesem Bereich eine Verlagerung von der zeitbasierten hin zu einer bildbasierten Patientenauswahl. Unsere Neurovascular Suite wurde als Antwort auf diese Trends entwickelt. Sie unterstützt Sie dabei, eine hohe Verfahrenseffizienz zu erreichen und neue Maßstäbe für den klinischen Outcome zu setzen.

Produkt-Highlights für dieses Verfahren

Azurion 7 B20/15

Azurion 7 B20/15 System für die bildgeführte Therapie

Biplanarsystem für bildgeführte Therapie mit 20´ Front- (50,8 cm) und 15´ Lateraldetektor (38,1 cm)

Hervorragende Bildqualität und zuverlässige Sicherheit aller Beteiligten

Reibungslose klinische Arbeitsabläufe dank spezieller neurologischer Funktionen

eine Gruppe von Ärzten, die auf einen Bildschirm schauen

SmartCT

Niedrigschwellige Erfassung von 3D-Bildern für alle klinischen Anwender*

Ergänzt unsere umfassenden interventionellen 3D-Werkzeuge um aktive Benutzerunterstützung

3D-Bilder werden in Sekundenschnelle automatisch auf dem Touchscreen-Modul angezeigt

Einfacher Zugang zu Tools für erweiterte 3D-Darstellungen und -Messungen*

eine Person, die einen Computer benutzt

ProcedureCards

Einem Krankenhaus gelang es mithilfe von ProcedureCards, die Vorbereitungszeit im Labor um 12 % zu verkürzen1

Sie verbessern und standardisieren die Systemeinrichtung

Sie unterstützen die Vermeidung von Vorbereitungsfehlern

    Klinische Lösungen für die Behandlung ischämischer Schlaganfälle

    ein Diagramm eines medizinischen Verfahrens
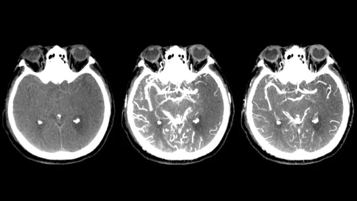
    Drei SmartCT Aufnahmen

    CT-artige Darstellung

    SmartCT Soft Tissue generiert eine CT-artige Darstellung des Weichgewebes und erleichtert die Schlaganfalldiagnose auf drei Arten: Ein kontrastmittelfreier Scan hilft bei der Erkennung früher ischämischer Veränderungen. Ein Scan der frühen Phase hilft bei der Identifizierung des proximalen Verschlusses. Ein kontrastmittelverstärkter Scan der Spätphase unterstützt die Erkennung von Kollateralen.

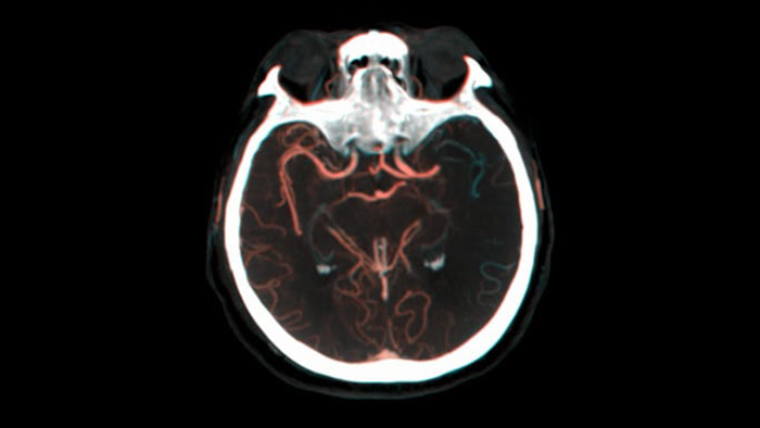
    SmartCT Vaso IV

    Überprüfung der Position und Länge eines Gerinnsels

    Dank der periprozeduralen Darstellung von Aspekten distaler Gefäße bei ischämischen Schlaganfällen ermöglicht SmartCT Vaso den Blick hinter das Gerinnsel. SmartCT Vaso ist eine Erfassungstechnik, die auf einem Cone-Beam-CT-Scan in Kombination mit einer intraarteriellen Kontrastmittelinjektion basiert. Durch retrograde Füllung werden die Gefäßstrukturen vor und hinter dem Gerinnsel sichtbar. Die SmartCT Vaso 3D Roadmap kann zur Darstellung von Instrumenten zur Entfernung von Gerinnseln verwendet werden.

    Darstellung der kollateralen Füllung

    Darstellung der kollateralen Füllung

    Dual View zur Anzeige der Cone-Beam-CT-Volumina der Früh- und Spätphase nebeneinander verbessert die Erkennung der Penumbra und ermöglicht die Darstellung der kollateralen Füllung.

    Überprüfung auf periprozedurale Blutungen

    SmartCT Soft Tissue

    Verwenden Sie die SmartCT Soft Tissue (CT-artigen) Bilder der Neurovascular Suite zur Beurteilung des Behandlungserfolgs und Überprüfung auf Blutungen.

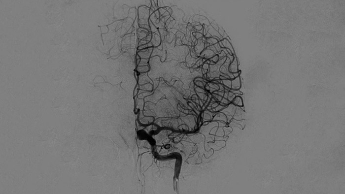
    Scharfe Bilder dank 2D DSA mit ClarityIQ

    2D DSA mit ClarityIQ

    Die automatische Bewegungskompensation von ClarityIQ ermöglicht auch während Echtzeit-DSA scharfe Bilder der Gefäße und unterstützt so die sichere Entscheidungsfindung während Schlaganfallbehandlungen.

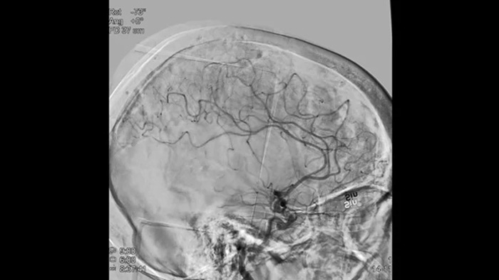
    Anatomische Referenzbilder unterstützen die präzise 3D-Navigation

    ein Schädel mit roten Adern

    SmartCT Roadmap bietet anatomische Referenzbilder zur Unterstützung einer präzisen Navigation von Führungsdrähten, Kathetern und Instrumenten zum Gerinnsel.

    Verifizierung des Behandlungserfolgs

    DSA Visualisierung

    Hochwertige DSA-Visualisierungen ermöglichen es Ihnen, zu beurteilen, ob das Gerinnsel vollständig entfernt wurde und ob sich Teile davon distal in das Gehirn verteilt haben. Sie können die Wiederherstellung des Blutflusses zur Penumbra verifizieren und eine Überprüfung auf periprozedurale Blutungen vornehmen.

    Verbesserte Darstellung des Gefäßsystems

    Roadmap Pro

    Treffen Sie informierte Entscheidungen, ob und wie das Gerinnsel erreicht werden kann: Roadmap Pro, eine moderne Doppelkontrast-Roadmap, verbessert die Darstellung überlappender Gefäße bei gleichzeitigem Management der Strahlenexposition.

    Workflow-Innovationen für die Behandlung ischämischer Schlaganfälle


    Azurion bietet eine Reihe von Innovationen zur Optimierung der Arbeitsabläufe, die auch dem Team im Bereitschaftsdienst während einer akuten ischämischen Schlaganfallintervention leichtes und effizientes Arbeiten bei voller Konzentration auf den Patienten ermöglichen und gleichzeitig die Kontrolle über die Strahlendosis erlauben.

    Azurion biplanar Neuro zerebral
    FlexVision Pro und TSM Pro

    Vollständige Systembedienung direkt am Untersuchungstisch

    FlexVision Pro bietet Ihnen direkt am Tisch Zugriff auf und volle Kontrolle über präoperative diagnostische Scans, Patientendaten und Planungstools. So sparen Sie Zeit und vermeiden unnötige Raumwechsel in den und aus dem sterilen Bereich. Das Touchscreen-Modul Pro ermöglicht die Anzeige von Bildern und die Bedienung von Anwendungen direkt am Tisch, kombiniert mit der Bedienfreundlichkeit eines Tablet-PCs.

    Multitasking zur Verkürzung der Behandlungszeit

    Instant Parallel Working

    Instant Parallel Working ermöglicht Teammitgliedern die parallele, unabhängige Ausführung verschiedener Aufgaben in Kontroll- und Untersuchungsraum. Dies verkürzt die Behandlungszeit bei Schlaganfallpatienten in kritischem Zustand.

    Neuro-Kopfhalter für weniger Bewegungsartefakte

    Neuro Kopfhalter

    Zur Fixierung unruhiger Patienten unter leichter Sedierung, um Bewegungsartefakte während des Eingriffs zu reduzieren.

    Integrierter OP-Tisch für die Akutversorgung

    OP-Tisch Getinge Magnus

    Der Magnus OP-Tisch von Getinge eignet sich für den Einsatz bei der Behandlung von Notfall- und Traumapatienten. Er ist mit Philips Röntgensystemen synchronisiert, sodass Sie alle Vorteile der modernen Lösungen von Philips nutzen können.

    Azurion 7 M20 für vereinfachte Verfahren

    OP-Tisch Getinge Magnus

    Monoplanare Angiographiesysteme werden in der Neurochirurgie neben biplanaren Systemen zunehmend als dedizierte Systeme bei Schlaganfällen oder als Ersatzsysteme eingesetzt. Das Azurion 7 M20 System ist mit allen erweiterten interventionellen Neuro-Tools kompatibel.

    Schnellere Schlaganfallbehandlung.
    Bessere Behandlungsergebnisse.
     

    Bei einem akuten Schlaganfall verdienen alle Betroffenen die bestmögliche Versorgung. Heute können aufgrund geänderter Leitlinien, die das Zeitfenster für eine endovaskuläre Behandlung vergrößern, mehr Patienten von einer mechanischen Thrombektomie profitieren.

    DTAS Video

    News und Blogs zur bildgeführten Therapie

    Entdecken Sie die verschiedenen Verfahren in der bildgeführten neurovaskulären Therapie

    • Behandlung von zerebralen Aneurysmen

      Behandlung von zerebralen Aneurysmen

      Lösungen von Philips Image Guided Therapy für die Behandlung von zerebralen Aneurysmen – für mehr Behandlungssicherheit bei neurochirurgischen Eingriffen

      Mehr erfahren
    • AVM-Behandlung

      AVM-Behandlung

      Die hochentwickelten Lösungen für die neurovaskuläre Bildgebung von Philips unterstützen die sichere Entscheidungsfindung bei der Planung, medizinischen Überwachung und Durchführung von interventionellen AVM-Eingriffen.

      Mehr erfahren

    Lassen Sie uns in Kontakt treten!

    Wie können wir Ihnen weiterhelfen?

    1
    Wählen Sie Ihren Interessenbereich aus
    2
    Kontaktdetails

    Literatur

     

    * Entsprechend den Angaben in der SmartCT Gebrauchsanweisung.

     

    1. Söderman M, Holmin S, Andersson T, Palmgren C, Babic D, Hoornaert B. Image noise reduction algorithm for digital subtraction angiography: clinical results. Radiology. 2013 Nov;269(2):553-60. Die Ergebnisse der Dosisreduktion mittels verschiedener Verfahren hängen von der klinischen Fragestellung, dem Patientendurchmesser, der anatomischen Position und der klinischen Praxis ab. Der interventionelle Radiologe muss – bei Bedarf mit Hilfe eines Physikers – die geeigneten Einstellungen für die jeweilige klinische Fragestellung ermitteln. Die Ergebnisse auf Basis des Dosisflächenprodukts bei der DSA-Bildgebung pro Einzelbild stammen aus einer monozentrischen, prospektiven, randomisierten Studie mit 20 Patienten. DSA-Durchläufe für Allura Xper mit ClarityIQ sowie Allura Xper ohne ClarityIQ wurden am frontalen und lateralen Kanal an den jeweils selben Patienten unter den gleichen geometrischen Bedingungen und mit gleichem Field of View und Injektionsprotokoll durchgeführt. Die Bildqualität basiert auf subjektiver Beurteilung (Wert 1 bis 5: 1 = sehr schlecht, 5 = hervorragend; verblindete Befundung durch 3 an der Studie beteiligte Radiologen).
    2. Die Ergebnisse stammen aus Benutzertests, die in einer Simulationsstudie mit über 60 Benutzern weltweit im Zeitraum zwischen November 2015 und Februar 2016 durchgeführt wurden. Entwickelt und beaufsichtigt wurden die Tests von Use-Lab GmbH, einem unabhängigen und objektiven Unternehmen für Prüfungen der Gebrauchstauglichkeit, das Entwickler berät und Benutzeroberflächen entwickelt. An den Tests nahmen 31 klinische Fachkräfte aus den USA (16 Ärzte und 15 MTRAs) und 30 klinische Fachkräfte aus Europa (15 Ärzte und 15 MTRAs) teil, die in der simulierten Umgebung eines Interventionslabors mit Azurion ihre Verfahren durchführten.

    You are about to visit a Philips global content page

    Continue

    You are about to visit a Philips global content page

    Continue

    Unsere Seite wird am besten mit der neuesten Version von Microsoft Edge, Google Chrome oder Firefox angezeigt.