MRT dStream
Digitale Breitbandarchitektur für eine bessere Bildqualität von MR-Systemen

Digitale
Breitband-
architektur

dStream Technologie, digitale Breitbandarchitektur, digitalisiert das Signal direkt in der Spule.

Die digitale dStream Breitbandarchitektur liefert eine ausgezeichnete Bildqualität in bemerkenswert kurzer Zeit. Profitieren Sie dank der kanalunabhängigen HF-Technologie, durch die sich Upgrades komfortabel durchführen lassen, von einem bis zu 40% höheren Signal-Rausch-Verhältnis* und einem erhöhten Durchsatz.

 

dStream digitalisiert das Signal direkt in der Spule, verhindert so das für die analoge Übertragung typische Rauschen und erfasst das MR-Signal ohne Vorverzerrung oder Komprimierung. Eine Glasfaserverbindung zwischen Spule und Bildrekonstruktionseinheit ermöglicht eine verlustfreie Breitband-Datenübertragung.

Die dStream Technologie macht den entscheidenden Unterschied."

Chip Truwit, MD, Leiter der Radiologie, Hennepin County Medical Center; Minneapolis, Minnesota, USA

dStream Technologie

So funktioniert es

 

Die dStream Architektur nutzt eine DirectDigital HF-Sampling-Methode für die Digitalisierung: Das MR-Signal wird ohne Digital-Umwandlung direkt abgetastet. Auf diese Weise werden alle analogen Zwischenschritte für die Abwärtskonvertierung des Signals zwischen dem Spulenelement und dem Analog-Digital-Wandler vermieden.

Umstellung von analogem auf digitales Breitbandschema

Das Endergebnis ist eine vereinfachte Empfangsarchitektur, mit wenigen Komponenten, geringem Stromverbrauch, hohem SNR und Dynamikbereich sowie einer besseren Signal- und Phasenstabilität.

Vom analogen zum digitalen Schema

Die Digitalisierung findet in der Spule selbst statt. Die Elektronik zur Analog-Digital-Umwandlung wurde miniaturisiert und in die Spule integriert. 

Ein Glasfaserkabel für eine beliebige Anzahl von HF-Kanälen ersetzt mehrere Koaxialkabel – bei gleichbleibender Bildqualität. Die Anzahl der HF-Kanäle ist keine Systemspezifikation mehr.

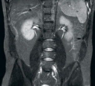
dStream Empfang

dStream Empfang

Das Ergebnis: Ein verbessertes SNR und höhere Bildauflösung

Anderer HF-Empfang

Anderer HF-Empfang

Das Ergebnis: Verrauschte Bilder bei Verwendung identischer Scanparameter

dStream Vorteile

Arzt verwendet dStream

Höhere Konsistenz und verbesserte Bildqualität

Die dStream HF-Empfangstechnologie digitalisiert das MR-Signal direkt in der HF-Spule, was im gesamten Bildvolumen zu einem bis zu 40% höheren SNR* führt.

 

Vereinfachter Arbeitsablauf und höherer Durchsatz

Dank der in die Tischplatte integrierten posterioren Spule entfällt bei 60% der Untersuchungen jede Spulenhandhabung. Das geringe Gewicht der anterioren Spulen und einfache Kabel-Spulen-Verbindungen, die mit nur einer Hand hergestellt werden können, erleichtern die Bedienung zusätzlich.

Arzt verwendet dStream am Patienten

Geringere Upgrade-Komplexität durch Kanalunabhängigkeit

Es ist kein Kanal-Upgrade des Systems erforderlich, um von Neuerungen in der Spulentechnologie zu profitieren.

 

Zukunftssichere Architektur

Die Erweiterung der klinischen Funktionen lässt sich ohne größere Systemerneuerungen erreichen – das bedeutet über den gesamten Lebensyklus des Systems geringere Kosten und eine höhere Werthaltigkeit.

SmartPath to dStream

SmartPath to dStream

dStream ist in alle neuen Ingenia MR-Systeme integriert, doch auch Besitzer bereits installierter Systeme können die Vorteile genießen. SmartPath to dStream ist ein kostengünstiger Weg zu einem digitalen Breitband-MR-System und für folgende Systeme erhältlich:

 

• Intera 1.5T                 • Achieva 3.0T/3.0T TX

• Achieva 1.5T/XR

dStream Architektur Videobild

dStream Architektur


Ein Video zur Erläuterung der dStream Architektur.

Umgestaltung der Versorgung mit erweiterter MRT

Kundenvideo


Das Hennepin County Medical Center (HCMC) betreibt eine hochmoderne MR-Einrichtung, die mit dem Ingenia 1.5T MR-Scanner von Philips mit dStream Technologie arbeitet.*

 

*Bis zu 40% höheres Signal-Rausch-Verhältnis im Vergleich zu Achieva als nichtdigitales/dStream System

Nehmen Sie Kontakt zu uns auf!

Sie wollen weitere Informationen zu MRT dStream erhalten oder einen Termin mit unseren Vertriebsmitarbeitern vereinbaren? Schildern Sie uns kurz Ihr Anliegen und wir melden uns schnellstmöglichst bei Ihnen.

*

Details zu Ihrer Anfrage

* Benötige Angabe

*
*
*
*
*
*
*
*
*

Bitte spezifizieren Sie Ihre Anfrage, so dass wir sie zielgerichteter bearbeiten können.

We work with partners and distributors who may contact you about this Philips product on our behalf.

*
*

Final CEE consent

You are about to visit a Philips global content page

Continue

You are about to visit a Philips global content page

Continue

Unsere Seite wird am besten mit der neuesten Version von Microsoft Edge, Google Chrome oder Firefox angezeigt.