
Diagnose
Die Qualität der kardiologischen Versorgung hängt von effizienten und präzisen Diagnosen sowie Beurteilungen ab. Dabei sorgen die Genauigkeit herausragender Bildgebung sowie die fundierte Unterstützung von KI in Kombination mit einem optimierten, patientenzentrierten Arbeitsablauf für klare Erkenntnise über den Zustand des Patienten. Sie ermöglichen so eine präzise und individuell abgestimmte Versorgung.
Wir zeigen, wie Bildgebungstechnologien durch ausgezeichnete Qualität bei der diagnostischen Bildgebung, mittels Analysen, Berichterstellung und durch Einblicke über verschiedene Bildgebungsmodalitäten hinweg lebensverändernde klinische Erkenntnisse für Patienten und kardiologische Behandlungsteams bieten. Dabei unterstützen sie gleichzeitig die Arbeitsabläufe, Effizienz und Zufriedenheit der Mitarbeiter.


Erweitern Sie die routinemäßige kardiologische Bildgebung durch die zusätzlichen Daten eines Spektral-CTs für moderne Kardiologie‑Anwendungen. Erfahren Sie, wie der "Always On" Spektral-CT-Ablauf des Spectral CT 7500 Sie dabei unterstützt, die Bedürfnisse Ihrer Patienten ohne Kompromisse zu erfüllen.
Modalitäten zur kardiologischen Bildgebung unterstützen eine zuverlässigere Stratifizierung kardiovaskulärer Toxizität und dienen gleichzeitig als leistungsstarke Referenzlinie für die Behandlung und langfristige Verlaufsbeobachtung.
Besuchen Sie unsere Seite zur Kardiotoxizität, um die vollständigen Richtlinien der Kardio-Onkologie des ESC 2022 zu lesen.
Erfahren Sie mehr darüber, wie unsere modernen Lösungen für die kardiologische Bildgebung eine individuell abgestimmte, effiziente und klinisch intelligente kardiologische Versorgung ermöglichen, die eine optimale Behandlungsergebnisse während des gesamten Behandlungspfads fördert.

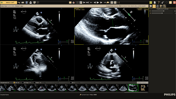
Prüfen, analysieren und quantifizieren Sie klinische Daten von verschiedenen Modalitäten und für unterschiedliche klinische Indikationen mit KI-gestützten 3D-Modellen, Kartendarstellungen und anderen Quantifizierungsfunktionen.

Stellen Sie einen einzigen Zugriffspunkt für die kardiovaskulären Diagnosefunktionen und Bilder mehrerer Modalitäten des Patienten in voller diagnostischer Qualität zur Verfügung, einschließlich vorheriger Untersuchungen, Befunde, Messungen und Berichte.

Ermöglicht eine höhere Effizienz bei der Ansicht, Analyse und Berichterstellung, indem es Behandlungsteams die Flexibilität gibt, je nach aktuellen und zukünftigen Anforderungen unterschiedliche Arbeitsabläufe anzuwenden.

Erhöhte Diagnosesicherheit dank Spektral-Detektor-CT. Mit Hilfe von Zeff Karten konnte die Minderperfusion der LCX eindeutig diagnostiziert werden.

Nutzen Sie das volle Potenzial der MRT während des gesamten Behandlungspfades mit ultraschnellen Untersuchungen, einem optimierten Arbeitsablauf, hochwertiger diagnostischer Bildgebung und verbessertem Patientenkomfort.

Erhöhen Sie die Diagnosesicherheit und klinische Effizienz durch überlegene Bildqualität, moderne Quantifizierungsfunktionen und Automatisierungstechnologien.
Mit integrierten kardiologischen Bildgebungsprodukten und -dienstleistungen, die den Behandlungsteams eine effizientere Arbeit bei allen Abläufen der Patientenversorgung ermöglichen sollen, gelangen Sie schneller zu zuverlässigen Diagnosen.

Erkunden Sie die Kardiologie-Lösungen von Philips, die auf höhere Diagnosesicherheit, mehr Effizienz in der gesamten Patientenversorgung und ein besseres Behandlungserlebnis bei der kardiologischen Versorgung ausgelegt sind.
* Philips Cardiovascular Workspace ist der kommerzielle Name des Medizinprodukts Philips IntelliSpace Cardiovascular.
You are about to visit a Philips global content page
Continue