Mit dem MR 5300 können Sie Ihre Effizienz bei der MR-Bildgebung steigern und der wachsenden Nachfrage nach diagnostischer Bildgebung von herausragender Qualität begegnen. Der 1.5T MR-Scanner wird mit dem exklusiven Philips BlueSeal Magneten betrieben und bietet KI5-gestützte Technologien, die selbst überaus komplexe klinische und betriebliche Abläufe automatisieren. So können Sie sich auf das konzentrieren, was wirklich zählt: Ihre Patienten.


Automatisierter patientenzentrierter Arbeitsablauf
Führen Sie die Patientenvorbereitung in unter einer Minute durch und starten Sie Untersuchungen mit nur einem Klick. Verkürzen Sie die Einstellungszeit für den nächsten Patienten um bis zu 30 %4.

Ultraschnelle Untersuchungen
Beschleunigen Sie MR-Scans um bis zu 50 %2 bei nahezu gleichbleibender Bildqualität. Führen Sie Routineuntersuchungen in nur 5 Minuten durch.

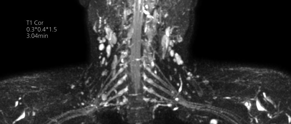
Hohe Qualität Diagnostische Bildgebung
Unsere besonders leichten Breeze Spulen sind vielseitig und sorgen für eine konstant hohe Bildqualität bei jeder anatomischen Struktur.

Dauerhaft hohe Leistung3
MR-Betrieb ohne Helium, Remote-Wartung, präventive Wartung, Systemupdates und Spulenaustausch sorgen für geringere Folgekosten.

„Ich bin sehr zufrieden mit der Leichtigkeit der Breeze Spulen und der Stecker. Unsere Patienten sind sehr überrascht von dem überaus komfortablen Scanverfahren mit dem MR 5300. Und wenn unsere Patienten zufrieden sind, dann sind wir es auch.“
Dayan Jackson Dudleythurai, medizinisch-technischer Radiologieassistent am Aleris-Hamlet Krankenhaus in Dänemark.
Mit Compressed SENSE ist die Zeit auf Ihrer Seite. Die Technologie verkürzt die Scan-Dauer um bis zu 50 %2 bei nahezu gleicher Bildqualität. Erhalten Sie MR-Bilder von ausgezeichneter Qualität mit einer 60 % höheren Auflösung für eine sichere Diagnosestellung.

Konventionell

Compressed SENSE
Unsere besonders leichten Breeze Spulen verleihen der Bildgebung technisch schwierig zu untersuchender anatomischer Strukturen und winziger Gelenkstrukturen eine außergewöhnliche Vielseitigkeit. Das 55 cm große Sichtfeld (FOV) und das ausgezeichnete Signal-Rausch-Verhältnis sorgen für eine herausragende Bildqualität.



Sehen Sie sich den Philips MR 5300 im Detail an. Erfahren Sie mehr über diagnostische Bilder und Produktdetails.


Der Philips BlueSeal Magnet sichert die für die Kühlung benötigte kleine Menge an flüssigem Helium im Tunnelinneren. Da kein Helium austritt, sind keine Nachfüllungen notwendig und es entstehen keine unerwarteten Kosten.

Hören sie sich den Dialog zwischen dem MR 5300 Kunden Michael Kirkegaard, CEO des Aleris-Hamlet Hospitals, und dem Philips MR General Manager Arjen Radder über die Bedeutung der Nachhaltigkeit in der Gesundheitsversorgung an.

BlueSeal Magnet für einen MR-Betrieb ohne Helium
Der Philips BlueSeal Magnet sichert die für die Kühlung benötigte kleine Menge an flüssigem Helium im Tunnelinneren. Da kein Helium austritt, sind keine Nachfüllungen notwendig und es entstehen keine unerwarteten Kosten.

Was bringt die Zukunft der MRT?
Hören Sie sich an, was Arjen Radder, Philips Global Business Leader, Magnetic Resonance, über die Philips Innovationen erzählt, die nahezu heliumfrei arbeitenden MR-Systemen ihren Weg bereiten.
Literatur
1. MR-Betrieb mit versiegeltem und austrittsfreiem BlueSeal Magneten mit 7 Litern Helium. 2. Im Vergleich zu Philips Untersuchungen ohne Compressed SENSE. 3. Die von uns angebotene Mindestlebensdauer eines Systems beträgt 10 Jahre. Teile wie Verbrauchsmaterial und Spulen sowie die von uns angebotenen vertraglichen Dienstleistungen fallen innerhalb dieser Lebensdauer unter Garantie. 4. Im Vergleich zur Einstellungszeit zwischen Untersuchungen von Gehirn, Wirbelsäule, Ganzkörper, Herz oder MSK im Ingenia 1.5T/Ingenia Ambition 1.5T mit dS Anterior und dezidierten MSK-Spulen. 5. Gemäß Definition von KI der Hochrangigen Expertengruppe der EU für Künstliche Intelligenz (AI HLEG).
You are about to visit a Philips global content page
Continue