
Es ist kein Geheimnis, dass sich Lebererkrankungen zu einem immer größeren Problem entwickeln.
Weltweit sterben rund zwei Millionen Menschen an Lebererkrankungen, eine Million davon an einer Zirrhose und eine Million an einer viralen Hepatitis oder einem hepatozellulären Karzinom. Die Ursache einer Lebererkrankung besteht in einer ungesunden Lebensweise wie Übergewicht, Alkohol- und Drogenkonsum und in den meisten Fällen können Lebererkrankungen verhindert werden¹.
Jahrzehntelang war eine Leberbiopsie die herkömmliche Methode zur Krankheitsdiagnose, und neuerdings wird außerdem eine MRI-PDFF (MR Proton-Density Fettfraktion) zur Leberfettquantifizierung durchgeführt. Die mit der Biopsie verbundenen Schmerzen, der Zugang zu MRT-Systemen, die hohen Kosten und langen Wartezeiten erweisen sich für Patienten jedoch als großes Hindernis.
Hier kommt Philips ins Spiel. Dank innovativen Weiterentwicklungen der Philips EPIQ & Affiniti Ultraschallsysteme gibt es jetzt eine umfassende Lösung für die Beurteilung, Behandlung und Überwachung von Lebererkrankungen, mit vier zentralen Funktionen in einem effektiven Tool.

mit Tools für die Leberfettquantifizierung (LFQ) von Philips.

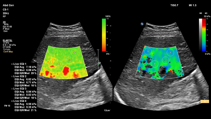
mit ElastQ Imaging.²

bei Scans durch Einsatz des C5-1 Schallkopfes im Vergleich zu herkömmlichen Schallköpfen.

Optimierung der Arbeitsabläufe mit ganzheitlichen effizienzsteigernden Lösungen, die zu einem verbesserten Patienten- und Anwendererlebnis beitragen.

ElastQ bietet mit der 2D-Scherwellen-Elastographie (2D-SWE) eine nichtinvasive, reproduzierbare und einfach durchzuführende Echtzeit-Beurteilung der Gewebesteifigkeit. Außerdem beinhaltet ElastQ Imaging eine Funktion zur retrospektiven Messung an gespeicherten Bildern sowie eine entsprechende Darstellung der statistischen Sicherheit für die höchste Scherwellenausbreitung.
ElastPQ ist eine Punktscherwellen-Elastographie (pSWE) zur Gewinnung von Werten der Gewebesteifigkeit der Leber. Mit Hilfe von Echtzeit-Bildgebung wird die ROI über den relevanten Bereich gelegt und innerhalb von Sekunden werden die Daten zur Gewebesteifigkeit erfasst. Es können mehrere Abtastungen aufgezeichnet und in einem Leberbericht zusammengefasst werden.
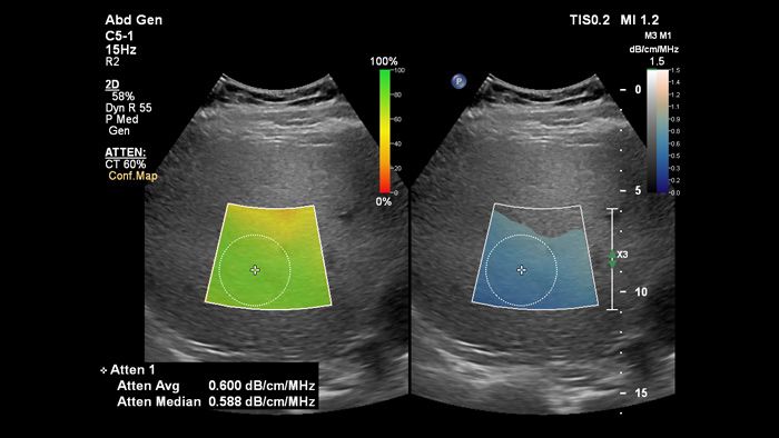
Mit Hilfe der Attenuation Imaging kann die Fettmenge in der Leber gemessen werden, indem der Abschwächungskoeffizient des vom Leberparenchym absorbierten Schalls errechnet wird. Diese Methode bietet quantitative Abschwächungsparameter, die Ärzte bei der Behandlung von Patienten mit Lebersteatosen unterstützen.
Die HRI Imaging Technologie vergleicht die relative Helligkeit des Leberparenchym mit der Niere und bietet so schnelle, quantifizierbare Daten zur Lebersteatose.
Attenuation Imaging

ElastQ Imaging


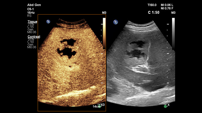
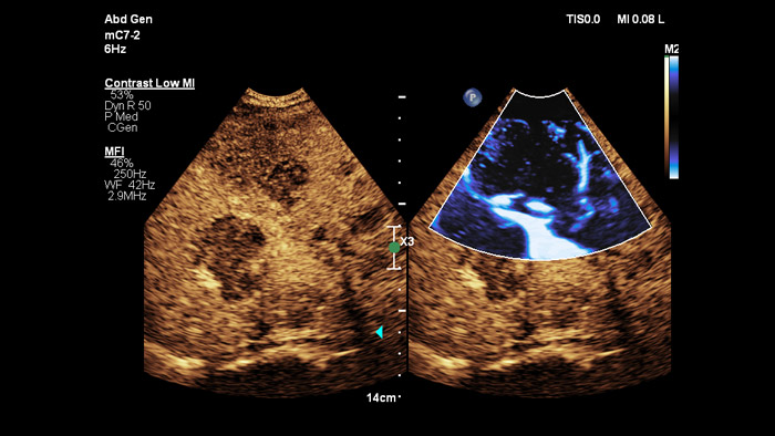
Ultraschall-Kontrastmittel können die Rolle des Ultraschalls verändern: Verstärkungsmuster von Leberläsionen können von Klinikteams in Echtzeit untersucht werden. Bei Ultraschallgeräten von Philips sind kontrastmittelverstärkte Ultraschalluntersuchungen nahtlos in den Standardablauf integriert.




Treffen Sie auch in diagnostisch schwierigen Fällen die richtige Entscheidung mit den Philips Funktionen zur Bildfusion und Nadelnavigation. Ein effizienter Arbeitsablauf ermöglicht Klinikteams eine schnelle und effektive Fusion von CT/MRT/PET mit Live-Ultraschallbildern, wobei die Nadelnavigation die Biopsieführung bei kleinen, schwer zugänglichen Läsionen unterstützt.³
Mit der Tumorkontur können Anwender Läsionen mit einem halbautomatischen Tool planen und hervorheben. Es erleichtert das Zeichnen einer 3D-Kontur um die relevante Struktur und bietet so Unterstützung in schwierigen Fällen, bei denen die Läsion nicht einfach zu erkennen ist.



Jeder Mensch ist anders. Die PureWave Kristalltechnologie bietet ein verbessertes Eindringvermögen bei schwer schallbaren Patienten ohne Abstriche bei der Detailauflösung, der Doppler-Empfindlichkeit und dem kontrastmittelverstärkten Ultraschall (CEUS).
Die PureWave Kristalltechnologie ist der größte Durchbruch bei piezoelektrischem Schallkopfmaterial seit 40 Jahren und ist 85 % effizienter als herkömmliche piezoelektrisches Schallkopfmaterial, was zu herausragenden Ergebnissen bei unterschiedlichsten Patienten führt.
Das Philips Ultraschallsystem EPIQ Elite bietet klinische Höchstleistung, effiziente Arbeitsabläufe und intelligente Technologie, sodass auch anspruchsvollste Anforderungen an die Praxis erfüllt werden. Mit klinisch maßgeschneiderten Tools, die die Diagnosesicherheit auf ein bisher unerreichtes Niveau heben, stellt die EPIQ Elite Plattform ultimative Lösungen für den Ultraschall bereit.
Das Affiniti 70 Ultraschallsystem ist eine gelungene Kombination aus hervorragender Leistung und optimierten Arbeitsabläufen für eine schnelle und sichere Diagnosestellung.
Bei einem neuen Ultraschallsystem kommt es vor allem auf Ausgewogenheit an. Sie benötigen in kürzester Zeit präzise diagnostische Informationen, eine einfache und intuitive Benutzeroberfläche sowie leichten Zugriff auf wichtige Funktionen, außerdem ein ergonomisches Design und die neueste Technologie.
Philips ist Ihnen gern dabei behilflich, mit einem breitgefächertes Sortiment an leistungsorientierten Produkten, Dienstleistungen und Know-how das volle Potenzial des Ultraschalls in zahlreichen klinischen Versorgungsbereichen auszuschöpfen.








You are about to visit a Philips global content page
Continue