Weniger Komplikationen bei nadelgeführten Verfahren
Lumify Handheld-Ultraschall für die Anästhesiologie unterstützt die klare Konturdarstellung bei der Nadelplatzierung, einschließlich der umgebenden Nerven, Gefäße und Faszienstrukturen.

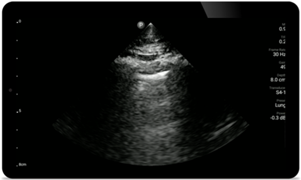
Lumify für die Beurteilung der Atemwege und Lungen
Die Lumify Point-of-Care-Ultraschalllösung kann die Erkennung des Endotrachealtubus in der Trachea erleichtern, Koniotomieverfahren unterstützen sowie bei der Diagnose von Pleuraerguss und interstitiellen Alveolarerkrankungen helfen.

Ultraschall am Patientenbett
Lumify kann am Patientenbett ein wertvolles Hilfsmittel sein, um den Status des Mageninhalts zu ermitteln und das Risiko einer Lungenaspiration zu senken. Dadurch lässt sich wiederum mitunter das Risiko von Anästhesiekomplikationen reduzieren.



















Mit hoher Detailgenauigkeit und hervorragender Gewebedefinition aus verschiedenen Winkeln unterstützt Sie Lumify zuverlässig bei der klinischen Entscheidungsfindung in allen Versorgungsphasen.

Fallstudie
A patient with dyspnea (Ein Patient mit Dyspnoe)

Tutorial (Engl.)
Pre-hospital point of care cardiac ultrasound: pulmonary embolism (Präklinischer Point-of-Care-Ultraschall des Herzens: Lungenembolie)

Kurzer Vortrag (Engl.)
Basics of lung ultrasound (Grundlagen des Lungenultraschalls)
You are about to visit a Philips global content page
Continue