Magnetresonanztomographie
Philips MRT-Gerät Ingenia Elition 3.0T​

Ein revolutionärer Durchbruch in Diagnosequalität und Geschwindigkeit

Philips Ingenia Elition 3.0T


Das Philips Ingenia Elition MR-System bietet kompromisslos modernste Bildgebungstechniken und setzt durch neuestes Gradienten- und HF-Design wegweisende Standards für die klinische Diagnostik und wissenschaftliche Forschung in der 3.0T-Bildgebung.

 

Ingenia Elition liefert eine brillante Bildqualität und beschleunigt in Kombination mit Compressed SENSE 2D- und 3D-Scans um bis zu 50 %1. Darüber hinaus bietet der Ingenia Elition ein audio-visuelles Erlebnis, das Patienten beruhigt und mit gezielten Anweisungen durch die MR-Untersuchung führt.

    Trailer anschauen

    Elition Trailer

    Klinische Fallbeispiele von Ihren Kollegen mit Ingenia Elition 3.0T

    Gehirn image

    Gehirn mit Glioblastom

    Tumor in Hand/Handgelenk

    Tumor in Hand/Handgelenk

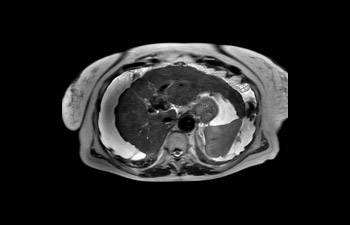
    Leber image

    Leber mit Aszites

    Becken image

    Fistel im Becken

    Downloads

    MR Body Map

    Download ExamCards for Ingenia Elition 3.0T

    ExamCards image

    Ingenia Elition 3.0T X broschure

    A revolutionary breakthrough in diagnosic quality and speed

    Elition CX Broschüre

    Ingenia Elition 3.0T S brochure

    3.0T imaging at your fingertips

    Elition CS brochure

    Compressed SENSE brochure

    Speed done right, every time

    compressed sense image

    SmartWorkflow brochure 

    Patient-centered productivity

    smartworkflow image

    Weitere Produkte

    Elition 3.0T X image

    Ingenia Elition 3.0T X


    Ein revolutionärer Durchbruch in Diagnosequalität und Geschwindigkeit

    Elition 3.0T S image

    Ingenia Elition 3.0T S

    3.0T Bildgebung für klinische Exzellenz und Produktivität

    Compressed Sense

    Compressed SENSE

    Die richtige Geschwindigkeit bei jeder Untersuchung

    3D APT

    3D APT

    Mehr Diagnosesicherheit in der Neuroonkologie

    Klinische Auswahlhilfe

    Klinische Auswahlhilfe

    Finden Sie die richtigen klinischen Applikationen für Ihre Anforderungen

    Spulenauswahl image

    Spulenauswahl

    Alle Ingenia Elition 3.0T-Spulen anzeigen

    Lassen Sie uns in Kontakt treten!

    Wie können wir Ihnen weiterhelfen?

    1
    Wählen Sie Ihren Interessenbereich aus
    2
    Kontaktdetails

    1 Verglichen mit Philips Scans ohne Compressed SENSE.

    2 Bei Routineuntersuchungen, basierend auf internen Tests.

    3 Basierend auf internen Tests mit Hirn-, Halswirbel-, Lendenwirbel- sowie Leber- und Knieuntersuchungen, bei denen nur die Untersuchungszeiten gemessen wurden.

    4 SmartExam kann nicht bei Patienten mit MR Conditional Implantaten angewandt werden.

    5 Verglichen mit Ingenia 3.0T Omega HP R5.3.

    6 Togao et al. (2014) Neuro-Oncology. Park KJ et al. (2016) Eur Radiol.

    7 Die Ergebnisse von Fallstudien lassen sich nicht prädiktiv auf andere Fälle übertragen. Die Ergebnisse können in anderen Fällen abweichen. 

    8 Verglichen mit Scans ohne ComforTone.

    You are about to visit a Philips global content page

    Continue

    You are about to visit a Philips global content page

    Continue

    Unsere Seite wird am besten mit der neuesten Version von Microsoft Edge, Google Chrome oder Firefox angezeigt.