Frau Silvia Schiffer, leitende Radiologin bei Radiologie Schiffer in Deutschland, berichtet über ihre Erfahrungen mit dem Ingenia Prodiva 1.5T MR-System.
Dr. Takahashi,








Downloads
NetForum


Sehen Sie selbst, was die ersten Nutzer von Ingenia Prodiva 1.5T über ihre Erfahrungen mit dem System und dessen Auswirkung auf ihre radiologische Praxis berichten.

Weitere Produkte

Der vereinfachte Breeze Workflow beschleunigt den Patientendurchsatz.

Ihren Möglichkeiten sind jetzt keine Grenzen mehr gesetzt.

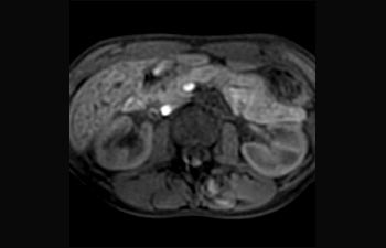
Die richtige Geschwindigkeit bei jeder Untersuchung.

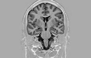
Mehr Diagnosesicherheit in der Neuroonkologie

Finden Sie die richtigen klinischen Applikationen für Ihre Anforderungen

Alle Ingenia Prodiva 1.5T-Spulen anzeigen
1 Basierend auf einer internen Studie zum Vergleich des Workflows mit einem Achieva System 2 ComforTone ist ab Q4 2017 für den Prodiva 1.5T erhältlich. 3 Basierend auf einer internen Vergleichsstudie mit dem Arbeitsablauf des Achieva MRT-Systems bezüglich einer Mischung aus Gehirn-, Wirbelsäulen-, MSK- und Körperuntersuchungen 4 Normaler Betrieb ist definiert als eine typische Untersuchung mit ununterbrochener Verfügbarkeit von Strom und Magnetkühlung und ohne Wartungsmaßnahmen. 5 Abhängig von den vertraglichen Ansprüchen und der Verfügbarkeit 6 „Andere MR-Systeme“ bezieht sich hier auf Ganzkörper-MR-Systeme mit 60 cm und 1,5 T.
You are about to visit a Philips global content page
Continue